Share
Lab puppy, Cocoa, needs our help!
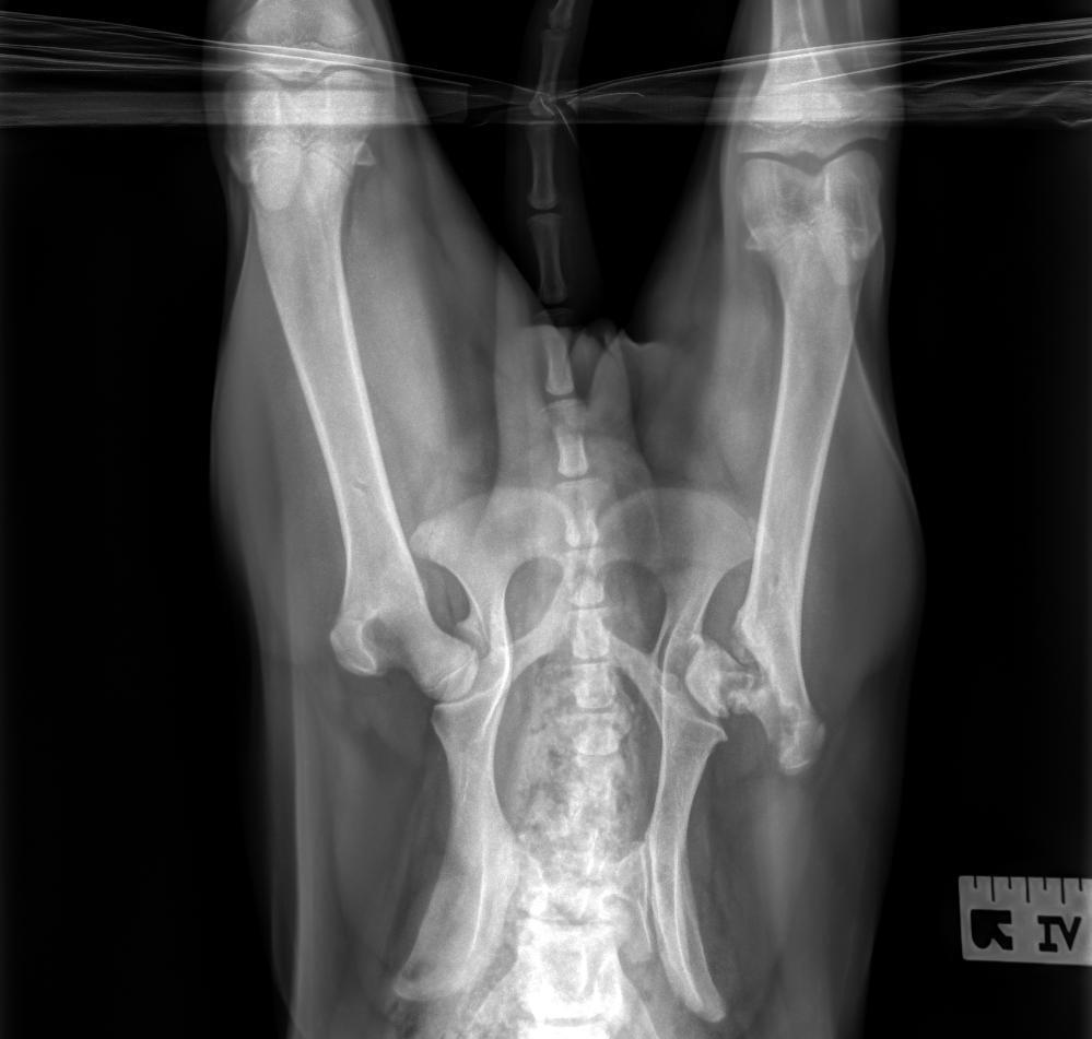
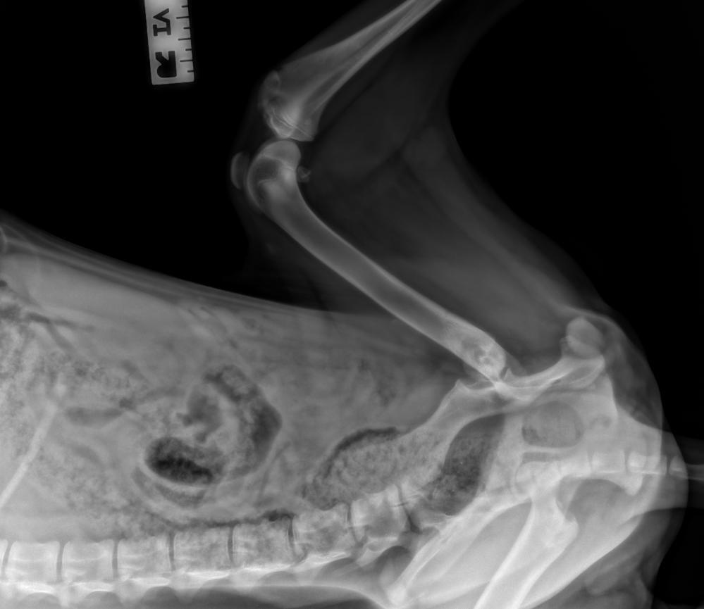
Just a baby, at 6 months old, Cocoa had lived more than 1/3 of her life on a cold shelter floor. You might call her lucky, to make a life saving trip and to land in a warm and loving foster home- but upon arrival, it was quickly discovered that something was terribly wrong. Cocoa's back leg bone, where it fits into her hip (femoral head) is not where it's supposed to be, and it's broken. She's been suffering with this debilitating pain, for no less than 2-1/2 months, likely longer. So maybe she IS lucky- we sure hope so- because with any luck, you will donate to help us raise enough money to cover the cost to have her painful, broken, baby leg- fixed! (more photos below)
Please DONATE TODAY to help us cover the cost of this urgent, and life changing, surgery to fix her leg and get her off and running towards her happily ever after!






Organized by Community Animal Welfare Society
501(c)(3) Public Charity · EIN 87-0515959
[email protected]